
Transform Your Smile with Invisalign® Clear Aligners
Invisalign® is an orthodontic device which serves as a plastic form of dental braces. These clear aligners (otherwise known as "clear align system") have the capability to adjust the teeth without the use of brackets or wires. Invisalign® has already been used by dental practitioners on a lot of patients for treatment..
For the fitting of the clear aligner, your dentist will take an x-ray and photographs of your mouth. Then your teeth, gums and bite will be captured using an oral digital scanning technology. Afterwards, your dentist will write an evaluation of the diagnosis and the treatment plan which will be designed specifically for you.
Smile with Invisalign® in Just Months
The duration of the Invisalign® treatment may vary, but patients usually complete it in a matter of six months. The results however, can be experienced within a few weeks time.
When you visit us, we will evaluate you to determine if you are a good candidate for Invisalign®. First, we will create a 3-D model of your teeth, which will then serve as the basis for your very own treatment plan. The model itself will be able to predict what your teeth would look like after you have completed the treatment.
At The Schiff & Moniz Dental Group, we can help you achieve a beautiful, healthy smile with Invisalign®. To schedule a consultation, you may contact our office.
Invisalign® Solutions for Every Smile




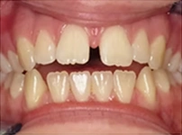
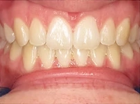
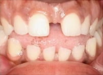
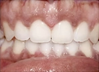
Real Results, Real Smiles





